1 背景
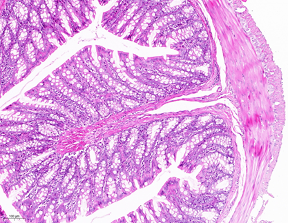
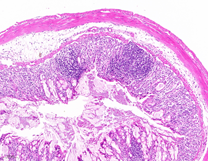
现如今,有多种动物实验模型被广泛用于研究炎症性肠炎(inflammatory bowel disease, IBD)的病因、发病机制及测试新开发药物药效等,尤其以葡聚糖硫酸钠盐(Dextran Sulfate Sodium Salt,DSS)结肠炎(ulcerative colitis,UC)模型应用最广。本实验模型使用小鼠、大鼠、仓鼠、豚鼠或猪、兔等动物均可造模,通过给予动物自由饮用不同浓度的DSS水溶液,根据用药时间及用药周期可制成急性和慢性两种结肠炎模型。该模型症状表现与人类UC极为相似,主要表现为腹泻、黏液样便、粪便潜血、肉眼血便、重量减轻、活动度减少,毛色变差等。慢性期结肠炎模型:结肠明显缩短,粘膜增厚、淋巴结肿大,杯状细胞缺失、隐窝缺失,小部分动物出现腺瘤性息肉、肿瘤样改变。
急性期结肠炎模型:结肠充血、水肿、变短、变脆、重量长度比增加,出现不同程度的结肠溃疡,黏膜水肿、杯状细胞缺失、隐窝肿胀破坏,黏膜和黏膜下层出现不同程度的炎症细胞浸润,上皮细胞损伤。
2 动物信息及药物配制
2.1 动物信息
品系:C57BL/6小鼠
性别:雄性
周龄:6-8周
体重:18-22g
2.2 药物配制
DSS用纯水配制成质量分数为2.5%的溶液。
3 操作流程
1)动物适应性饲养7天;
2)模型组小鼠以2.5%DSS自由饮用7d,对照组小鼠以无菌纯水自由饮用。
4 实验结果展示



