肿瘤动物模型的建立为研究肿瘤发生与转移的机制、筛选和评价抗肿瘤药物的药效提供了有力的工具。目前使用的啮齿类动物肿瘤模型包括自发性肿瘤模型、诱发性肿瘤模型、基因工程小鼠肿瘤模型以及异种/同种移植的肿瘤模型。其中,移植模型中的皮下移植瘤更易于和更广泛用于临床前研究。然而,皮下移植瘤并不能充分代表临床癌症,皮下(异位)移植瘤脱离了原发组织的微环境,其发生发展与临床相去甚远,同时该模型对药物反应性差、转移发生率较低、生存曲线数据与临床脱节。因此与人类疾病具有更强生物学和药理学相关性的一系列原位移植瘤模型应运而生。
本公司多年来致力于原位移植瘤模型的研究,已开发包括脑部、肺部、结肠、卵巢、肝脏、乳腺、胰腺、胃、坐骨神经、骨髓等多种原位移植瘤模型,为肿瘤药效学研究提供可靠的数据。
脑胶质瘤模型


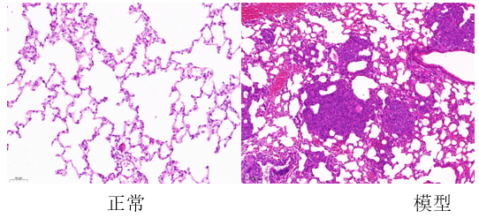
肺癌原位移植瘤模型


肝癌原位移植瘤模型
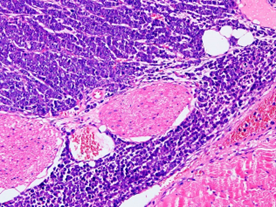
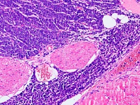
裸鼠坐骨神经肿瘤浸润模型


裸鼠胫骨肿瘤浸润模型



